Index of /public/dataset/MAS-Seq/DATA-RevioSPRQ-Kinnex-VisiumHD-humanColon

Icon  Name                              Last modified      Size  Description
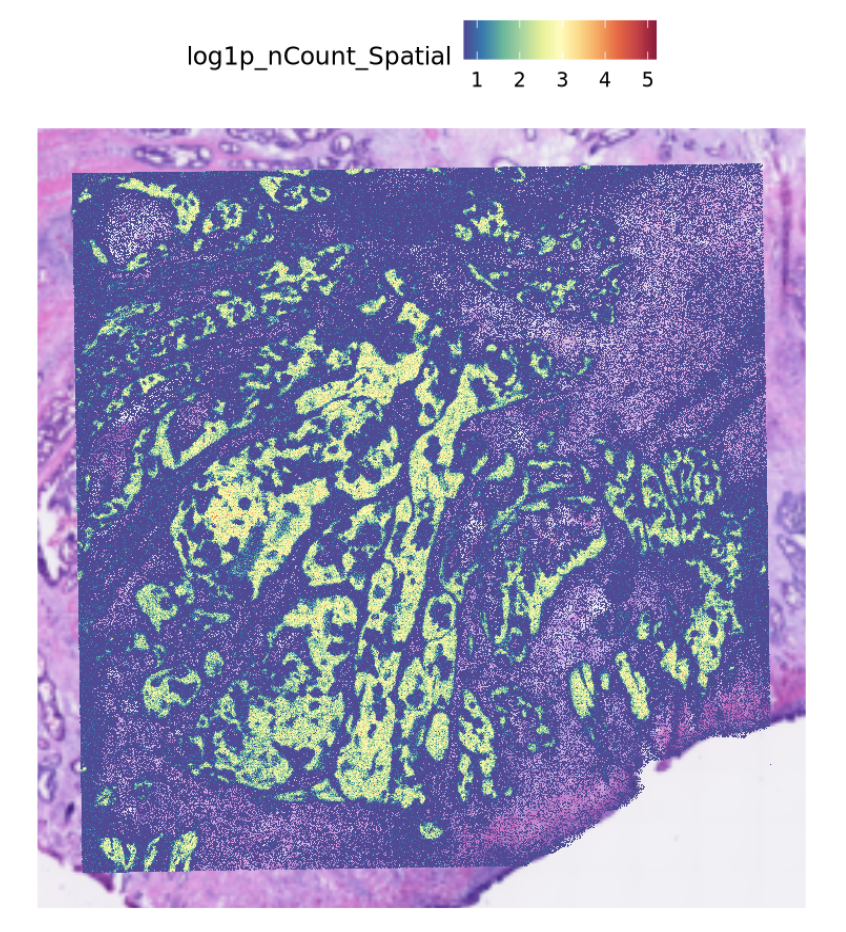
[PARENTDIR] Parent Directory - [DIR] 1-Sreads/ 2025-10-29 13:00 - [DIR] 2-BarcodeCalling/ 2025-10-21 13:13 - [DIR] 3-DeduplicatedReads/ 2025-10-21 13:15 - [DIR] 4-CollapsedTranscripts/ 2025-10-21 13:17 - [DIR] 5-CountMatrix/ 2025-10-21 13:17 - [IMG] hColon_2um_Spatial_Counts_Log.png 2025-11-04 12:22 1.3M [TXT] hColon_web_summary.html 2025-10-30 14:49 14M